팝업
닫기
ENG
CHN
RUS
MNG
logo
병원소개
진료안내
무릎관절
어깨관절
수부/족부
척추/고관절
척추뇌신경
내과/검진센터
열린마당
병원장인사말
국제바로병원역사관
병원이념
의료진소개
병원둘러보기
의료사회사업
찾아오시는 길
진료예약안내
진료예약
비급여항목
제증명서류발급
전문의 상담
24시 응급실
퇴행성관절염
반월상연골판손상
연골연화증
인대손상
십자인대파열
하지정맥류
치료센터
오십견
회전근개파열
퇴행성관절염
어깨충돌증후군
석회화건염
습관성탈구
관절와순파열
치료센터
손저림
손목터널 증후군
테니스엘보우
방아쇠수지
무지외반증
족저근막염
아킬레스건 파열
발목인대파열
내성발톱,무좀
치료센터
척추관협착증
디스크탈출증
척추전방전위증
척추압박골절
척추측만증
거북목/일자목
근막통증증후군
대퇴골두무혈성괴사
대퇴골두 골단분리증
치료센터
두통
치매
뇌졸중
어지럼증
손발저림
내과센터
유방갑상선외과센터
종합검진센터
(장애인)검진예약
병원소식
언론정보
쿡TV(유튜브영상)
전문의건강백서
해외의료교류
스타들의 방문
고객의소리
척추/고관절
대퇴골두 골단 분리증
척추/고관절
병원소개
진료안내
무릎관절
어깨관절
수부/족부
척추/고관절
척추뇌신경
내과/검진센터
열린마당
멤버쉽
대퇴골두 골단분리증
척추관협착증
디스크탈출증
척추전방전위증
척추압박골절
척추측만증
거북목/일자목
근막통증증후군
대퇴골두무혈성괴사
대퇴골두 골단분리증
치료센터
대퇴골두 골단 분리증
(SCFE)
대퇴골두 골단 분리증은 사춘기나 성장기 아이들에서 대퇴골두(허벅지뼈 머리 부분)의 골단(성장판 부위)이 대퇴 경부(대퇴골 목 부분)에서 미끄러지듯 분리되는 질환입니다. 쉽게 말해, 허벅지뼈 머리의 성장판 부위가 비정상적으로 움직여 탈구와 비슷한 상태가 되는 것입니다.
국제바로병원
척추/고관절 치료정보
하이브리드 디스크치료
양방향 척추내시경수술
급성 신경압박 완화수술
4無신경성형술
비수술 통증차단 치료법
신경차단술
디스크 압력감소 고주파 치료
고주파수액감압술
고관절을 인공관절로 교체
고관절 인공관절수술
마이크로현미경 최소침습수술
최소침습 척추고정술
특발성 허리굽음
척추측만증 변형수술
인체디스크 교체수술
인공디스크 치환술
주요 원인과 증상
원인
· 성장기 청소년(특히 10~16세)에서 흔함
· 내분비 질환(예: 갑상선 기능 저하증, 사춘기 지연 등) 연관이 되기도 함
· 급격한 성장기 동안 스트레스가 성장판에 가해질 때
· 비만인 경우 체중증가로 고관절에 가해지는 하중이 커질 때
· 경미한 부상이나 반복적인 미세 손상
증상
· 고관절 부위 통증 또는 무릎 통증
· 다리의 내회전 제한
· 절뚝거림(보행장애)
· 다리 길이 차이가 생길 수 있음
치료
보존적 치료
미끄러짐이 심하지 않은 초기 환자에게 보존적 치료를 시행합니다.
· 목발을 사용한 체중 부하 제한
· 절대 안정
· 진통제를 통한 통증 조절
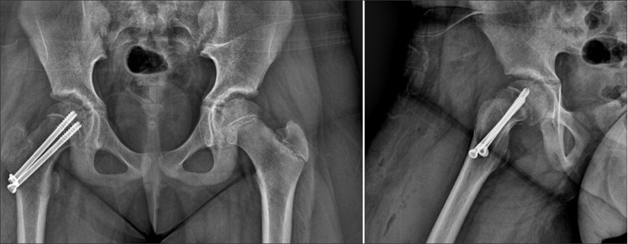
수술적 치료
· 성장판이 닫히기 전, 성장판을 관통해 대퇴골두까지 나사못을 삽입하여 더 이상의 어긋남을 방지합니다.
· 성장판이 닫힌 후, 대퇴골두가 어긋난 경우 뼈 수술을 통해 교정합니다.
032
722
8585
진료예약
온라인상담
제증명발급
의료진소개
오시는길
24시간 응급실
TOP
TOP
진료예약
제증명발급
찾아오시는길
24시간 응급실